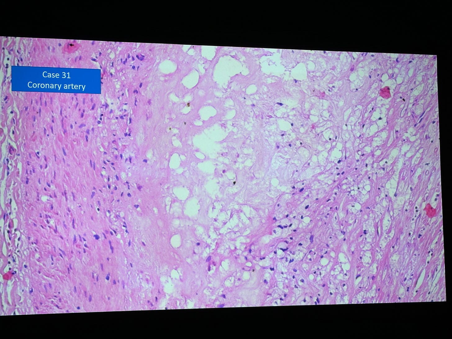
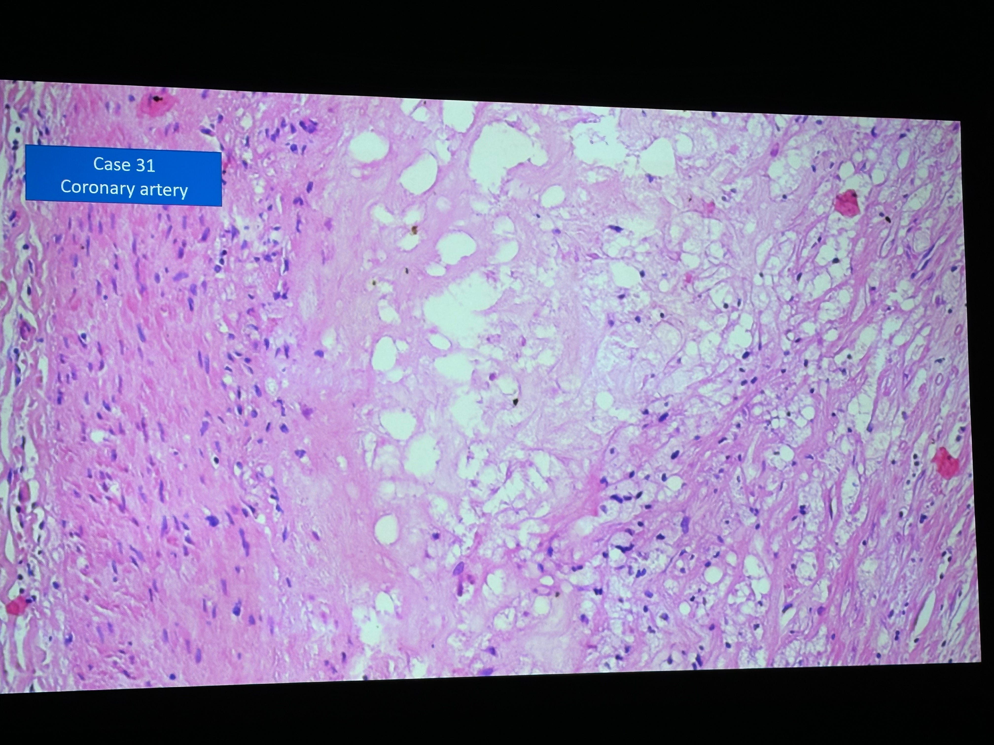
Helsemyndighetene forsikret oss at det som skjer i deltamuskelen, blir i deltamuskelen. Ble vi lurt ?
Patolog Dr. Arne Burkhardts bevis for at spike vaksinen sirkulerer fritt rundt i kroppen etter innsprøytingen og ikke forblir i deltamuskelen, slik vi ble fortalt.
Dr. Arne Brukhardt er en hederlig man. Når han i 2021 ble kontaktet av pårørende som ønsket svar etter at de plutselig hadde mistet familiemedlemmer kort tid etter injeksjon av de genetiske produktene, påtok han seg derfor den vanskelige jobben. Som tidligere sjefs patolog ved Tübingen Universitetet var han i en unik posisjon til å gi konkrete forklaringer til de sørgende om hva som hadde skjedd med deres kjære etter skuddet. Det korrupte tyske helsevesenet derimot, forholdt seg stum og avvisende til de involvertes forespørsler. Grunnen til at en partner, en bror, en far eller en mor var blitt revet bort var åpenbart ikke viktig å komme til buns i.
Arne og hans team ble gitt tillatelse av de pårørende til å undersøke vev og organer fra mennesker som hadde avgått ved døden etter vaksinen, og det han fant er relevant for oss alle. "Injeksjonen forblir på injeksjons stedet", var det vi ble lovet. Sannheten er en helt annen. Det dødelige spike proteinet som blir produsert av de genetiske blåkopiene, og er den aktive ingrediensen i mRNA vaksinene, kan bli funnet overalt i kroppen etter injeksjonen. Som han sier i videoen, ikke minst i endotelene. Endotelene er stoffet som dekker innsiden av blodårene i kroppen. Det høres ut som en oppskrift for kardiovaskulære problemer hvis du spør meg, og nettopp kardiovaskulære dødsårsaker er nå stigende. Husk at blåkopien som blir introdusert ikke har noen AV/PÅ bryter. Produksjonen av spike fortsetter uten kontroll over et uvisst tidspunkt.
Bare så det er klart hva vi ble lovet, men som viste seg å ikke være sant, her er Encyclopedia Britannica om Covid-19 vaksiner.
Muskler er et utmerket sted å sette vaksiner fordi muskelvev inneholder viktige immunceller. Disse immunceller gjenkjenner antigener, en bitte liten del av et virus eller bakterie, introdusert av vaksinen som stimulerer en immunrespons. I tilfelle Covid-19 vaksiner introduseres ikke en antigen men en blåkopi for å produsere antigener (min utheving). Immunceller plukker opp disse antigenene og presenterer dem til lymfeknuter. Ved å injisere vaksinen i muskler lokaliseres vaksinen (min utheving).
Arne Burkhardt har blitt angrepet og bakvasket i årevis av journalister, Twitter troll og skribenter som beviselig var betalt/bestukket for å spre Big Pharmas og Bill Gates løgner. Jeg hadde selv sjansen til å se og høre Arne legge frem fotografiske bevis ved Läkaroppropets Covid-19 konferanse i Stockholm i Januar 2023 i Stockholm. Han er bunnsolid, og ikke en for overdrivelser.
(Arne Burkhardt gikk bort i juni i år, 79 år gammel. Han var selvfølgelig uvaksinert. )
Verg deg, mens du har frie hender.
Her er videoen med Arnes egne forklaringer på hva han fant gjennom sine undersøkelser av over 100 vaksinedøde.






